WHAT IS A CAC SCAN?
Understanding Coronary Artery Calcium Screening
A Coronary Artery Calcium (CAC) scan is a n
on-invasive CT scanthat measures calcium buildup in the coronary arteries. Calcium is a marker of atherosclerosis — the buildup of plaque that increases the risk of heart attack or stroke.
The scan:
- Takes approximately 10–15 minutes
- Requires no needles or contrast
- Uses low-dose radiation
- Does not require special preparation
Why Calcium Matters
Plaque buildup often develops silently over many years. A CAC scan allows physicians to detect this process early and assess cardiovascular risk more accurately than traditional risk factors alone.
- A CAC score of zero is highly reassuring and suggests very low short-term risk.
- Elevated scores help guide personalized prevention strategies, including lifestyle changes, medication, or further evaluation when appropriate.
- CAC scoring does not replace medical care — it enhances it.
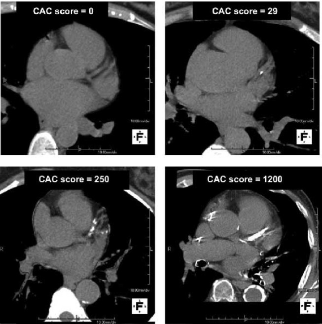
Examples of CAC Scores
These CT images demonstrate different Coronary Artery Calcium (CAC) scores. A score of
indicates no detectable calcium and a very low short-term risk.
As the score increases (e.g., 29, 250, 1200), more calcium is present in the coronary arteries, reflecting a greater plaque burden and increased cardiovascular risk. CAC scoring allows physicians to assess risk early and guide personalized prevention.
As the score increases (e.g., 29, 250, 1200), more calcium is present in the coronary arteries, reflecting a greater plaque burden and increased cardiovascular risk. CAC scoring allows physicians to assess risk early and guide personalized prevention.
How Coronary Artery Calcium Is Detected
This illustration shows how coronary artery calcium forms in the arteries that supply blood to the heart.
Over time, plaque can harden and calcify inside the coronary arteries without causing symptoms.
Over time, plaque can harden and calcify inside the coronary arteries without causing symptoms.
A Coronary Artery Calcium (CAC) scan uses specialized CT images to detect and measure calcium deposits in the coronary arteries, helping identify hidden heart disease before a heart attack occurs.